北京专业月嫂培训机构告诉你:月嫂劝阻宝妈做这个动作反遭质疑,儿科医生直言:专业月嫂,值得点赞!
发布时间:2021-09-23
阅读量:873
月嫂劝阻宝妈做这个动作反遭质疑,儿科医生直言:专业月嫂,值得点赞!
姐妹们上午好,很高兴又和大家见面啦~
俗话说得好,良药苦口,忠言逆耳。
姐妹们上户时,是不是难免会碰到一些“好心当成驴肝肺”的事情呢?
月嫂张姐最近就有一件烦心事。原来,张姐照顾的宝妈是一名90后,生产完后,宝妈经常喜欢侧躺着给宝宝喂奶。
因为她觉得坐着喂奶容易腰疼,而侧躺喂奶既舒服又方便,久而久之便形成了习惯。张姐一开始看见的时候还没说什么, 过了几天后,她发现宝宝总是会做出挠耳朵的动作,并且伴随着哭闹。
仔细一查才知道很可能是“中耳炎”的前兆,于是马上提醒了宝妈这件事,并劝阻她以后不要这样喂奶了。
宝妈听了这话之后并不怎么相信,还觉得是张姐小题大做,喂个奶怎么可能会导致中耳炎呢?
然而,过了几天,户主一家人带着宝宝去医院检查时,医生指出,宝宝患上了轻微中耳炎,经过排查发现,确实是宝妈躺着喂奶导致的。
宝妈当即羞愧,还把月嫂说过的话告诉了医生。
回去之后,宝妈还跟张姐表示歉意,说自己不该不听劝的。
张姐也很慷慨的说没事,反正都是想为了孩子好。
话说回来,为什么躺着喝奶容易导致“中耳炎”呢?让我们一起来看看专家是怎么说的。
01
侧躺喂奶导致“中耳炎”原因
所以当孩子躺着喂奶的时候,口咽部以及鼻咽部的分泌物和奶汁之类的很容易经过咽鼓管逆流进入鼓室内,导致患者出现中耳炎。
2、大部分的小孩子由于免疫力不健全,一旦有异物进入中耳鼓室腔之内的话,非常容易诱发中耳内出现炎症感染。
一旦出现感染的话,孩子可以出现耳朵疼痛、发热、耳道流脓等等相关的一些不舒服,所以说不建议躺着喂奶。
02
除了“中耳炎”,侧躺喂奶还有这些风险
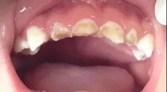
1、宝宝牙齿受伤害
别以为躺着喝奶很省心、很好,其实这方便和省心是要付出代价的,那代价就是宝宝牙齿的健康。
如果宝宝喝着喝着睡着了,那么残留在口腔内的奶液就会腐败产酸,进而腐蚀宝宝的牙齿。时间一长,牙齿容易脱钙、牙冠一块一块“掉渣儿”。
2、形成“地包天”,变丑躺着喝奶这一喂养姿势有其特殊性,在进行这一姿势的时候要求下颌要前伸。
如果长期进行这一姿势,下颌过度前伸,那么有可能造成“地包天”“兜齿儿”等发育异常.
鼻根处瘪瘪的,下巴略突,会影响到你家宝宝面部的“整体布局”哦,爸妈可要留意哦。
3、影响宝宝呼吸
有研究表明,80%的儿童呛奶都是在夜间哺乳时发生的,晚上躺在床上给宝宝哺乳,妈妈容易犯困,一不小心可能会堵住宝宝的鼻子,影响到呼吸。正确的喂奶姿势应该是这样
既然躺着喝奶这一习惯有着那么多的坏处,那么,我们该怎样正确地让宝宝喝奶,既让妈妈省心方便又让宝宝健康成长呢?1、妈妈在喂奶前可以先找一个有靠背的椅子,这样喂起来妈妈的腰背没那么酸软。
还可以事先准备好一个小板凳,脚踩在小凳子上可以抬高大腿让宝宝的头部更靠近妈妈的乳房。2、把宝宝放在腿上,让宝宝的头枕着妈妈胳膊的内侧,用手腕托着后背。用手托起乳房,挤去几滴宿乳后,用乳头刺激宝宝口周皮肤。待宝宝张开嘴时,把乳头和部分乳晕送入宝宝口中。再用手指按压乳房,这样既容易吸吮,又不会压迫宝宝鼻子。
3、喂完不要直接把宝宝放回床上,要把宝宝身体直立,头靠在妈妈的肩上,轻拍和抚摩后背,以排出吞入的空气。
